2022年2月4日大年初四早上,来自增城的53岁李阿姨(化名)突发昏迷,被送到南方医科大学中西医结合医院急诊科。CT提示右侧颞顶叶大量脑出血(约122ml),脑疝,病情危急!大年初四值班的医护人员第一时间开通绿色通道,神经医学中心兼神经外科陈陆馗主任迅速制定手术方案,在麻醉科朱倩玲主治医师等医护人员的紧密配合下,神经外科张建锋主治医师成功为李阿姨完成右颞部小骨窗脑内血肿清除术,术程顺利,术后患者恢复自主呼吸。据了解,李阿姨2年前曾因左侧基底节区高血压脑出血在该院接受手术,这次家人同样选择相信该院神经外科团队,医护人员再次挽回了李阿姨的生命。
春节值班医护团队紧密配合,开通绿色通道再度挽救生命
大年初四值班的急诊科李平医生接诊李阿姨后,迅速通知神经外科吴狄医生。吴狄医生为李阿姨检查发现脑出血量巨大,病情进展迅速,需及时行脑内血肿清除术,以缓解脑疝,抢救生命!神经外科张建锋主治医师第一时间为李阿姨开通绿色通道,神经外科陈陆馗主任高度重视,认真分析影像学资料并快速制定手术方案。另一方面, NICU(神经外科重症监护病房)李榕君护士以最快的速度为李阿姨备皮,插胃管,麻醉科朱倩玲主治医师完成术前麻醉,手术室申翠、刘聪、刘佳丽等护士为李阿姨摆好合适体位。在众多值班人员的紧密配合下,神经外科张建锋主治医师在显微镜下予李阿姨行右颞部小骨窗脑内血肿清除术,术程顺利,术后李阿姨自主呼吸恢复,目前正在NICU康复治疗中。

手术中

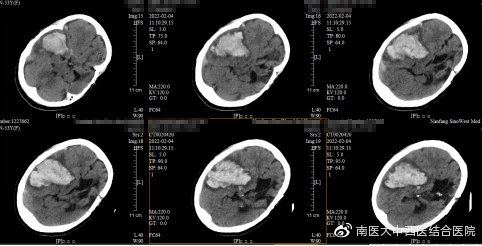
血肿清除术前CT

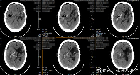
血肿清除术后CT

术后张建锋主治医师为李阿姨检查
据了解,李阿姨2年前曾因左侧基底节区高血压脑出血在南方医科大学中西医结合医院接受左小骨窗经侧裂左基底节区脑内血肿清除术,术后恢复良好。这次春节期间再次昏迷,南方医科大学中西医结合医院神经外科团队再次挽救了她的生命。
冬春季节气温骤升骤降明显,脑出血发病病例明显增多
陈陆馗主任指出,冬春季节气温骤升骤降明显,脑出血发病病例明显增多。今年广州春节连续阴雨,气温下降幅度较大,引起血压波动,更容易导致发病。李阿姨既往有脑出血病史,属于脑出血发病高危患者,此次发病不同于2年前左基底节区出血,本次为右颞部出血,出血量巨大,病情进展迅猛,好在李阿姨家属及时发现并第一时间送往医院才转危为安。
据陈陆馗主任介绍,脑出血又称“脑溢血”,是指非创伤性脑内血管破裂,导致血液在脑实质内聚集, 占全部脑卒中的25%-55%。每年约每10万人中就有12-15人发生脑出血,而且脑出血发病急进展快,发病1个月的死亡率高达35%-52%。
脑血管随着年龄会发生粥样硬化变得薄弱,尤其当合并高血压、糖尿病、高脂血症、吸烟等危险因素时更容易发生脑出血。高血压脑出血以50-60岁的高血压患者多见,由于情绪、天气变化、便秘、屏气等因素导致血压突发升高,从而引发本身硬化薄弱的血管发生破裂,而导致出血。
警惕!出现这些症状可能是脑出血
陈陆馗主任提醒大家,脑出血前多无预兆,往往突然发生,若出现以下症状需警惕,请及时就医:
1、剧烈头痛或长期头痛突发加重,尤其伴有严重的恶心呕吐,或伴颈背部疼痛等;
2、突发肢体麻木、无力、口角歪斜等;
3、突发说不出来话,或说话含糊,或听不懂别人说话等;
4、视物模糊、眼部胀痛和重影等;
5、原因不明的困倦或神志不醒,躁动,尤其伴大小便失禁等;
6、突发的头晕、视物旋转,晕倒在地。另外,脑出血后血压明显升高,少数病例出现痫性发作,严重者迅速转入意识模糊或昏迷。若有上述任何症状,同时伴有血压急剧升高,尽早医院就诊。

识别判断脑出血的FAST原则
干货!做好这几点预防脑出血!
陈陆馗主任提醒,预防脑出血,生活中需要注意:
1、稳定血压,防止血压的反跳及过度波动;
2、调整情绪,避免精神紧张,保持乐观情绪,避免情绪过于激动;
3、健康饮食,清淡饮食,多吃水果、蔬菜、豆制品,配适量瘦肉、蛋、鱼,少吃动物内脏,忌烟酒;
4、保持大便畅通,避免过度用劲排大便(用力排便,腹压升高,血压和颅内压均升高,可导致血管破裂引发脑出血);
5、必须注意季节变化,防寒避暑,冬季户外活动不宜晨起过早,过度运动;
6、注意劳逸结合,合理安排工作,坚持适当体育锻炼,保证足够睡眠,避免过度劳累和剧烈运动。
(通讯员:吴狄,张诚斌,朱钦文)