南方医科大学中西医结合医院神经外科主任陈陆馗教授近日告诉记者,蓝先生双脚麻木的元凶是一种脑瘤(脊髓胶质瘤),这是一种常见的椎管内肿瘤,但由于其发生部位的特殊性,致残率高,如不及时发现,早日切除,对患者危害极大,轻则致残,重则夺人性命。
两眼发直、口吐白沫,四肢抽动,但是发病过后立刻恢复正常。民间俗称“发羊吊”很多时候被人忽视治疗,或者不懂得是如何有效治疗。近日在南方医科大学中西医结合医院陈陆馗教授提醒,这是典型的..
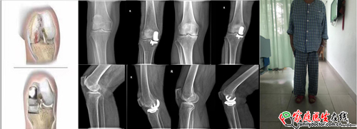
“以前听说膝骨关节炎需要手术做全膝关节置换,要不就长期吃药,没想到还能做微创,效果好还省了不少钱”患者彭女士(化名)说。
南方中西医结合医院骨伤科黄刚主任提醒,骨质疏松症作为中老年人最为常见的代谢性骨病,其引起的胸腰椎压缩性骨折的发病率逐渐增加,且女性发病率显著高于男性。
阅读次数:14266
10月12日,2019“名医广东行”健康公益活动走进紫金县,开展专家团队义诊、学术交流,治未病科专科联盟签约,以及面向全县基层医生开展中医适宜技术培训。据悉,此次活动为今年“名医广东行”的..
10月12日,2019“名医广东行”健康公益活动走进紫金县,开展专家团队义诊、学术交流,治未病科专科联盟签约,以及面向全县基层医生开展中医适宜技术培训。据悉,此次活动为今年“名医广东行”的..
10月12日,2019“名医广东行”健康公益活动走进紫金县,开展专家团队义诊、学术交流,治未病科专科联盟签约,以及面向全县基层医生开展中医适宜技术培训。据悉,此次活动为今年“名医广东行”的..
10月12日,2019“名医广东行”健康公益活动将走进紫金县,开展专家团队义诊、学术交流,治未病科专科联盟签约,以及面向全县基层医生开展中医适宜技术培训。据悉,此次活动为今年“名医广东行”的第六场活动,由南方医科大学中西医结合医院、南方农村报社、紫金县卫生健康局、紫金县人民医院联合举办。
9月28日(星期六), 2019“名医广东行”健康公益活动 将走进龙门县, 开展专家团队义诊,学术交流, 以及面向全县基层医生开展中医适宜技术培训。
广东好人、全国道德模范、全国岗位学雷锋标兵……南方医科大学中西医结合医院急诊科主任贺运河身上承载的荣誉太多了,但这些光环无法驱赶病魔。在生命的最后时间里,他饱受白血病复发的折磨,然而苦难没有打断他的节奏,贺运河在病床上手写处方单、答患者问,甚至冒着感染风险到科室看望病人。