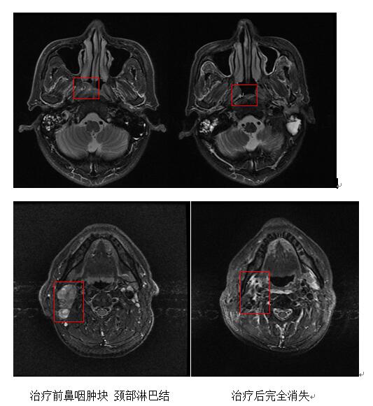
患者卢xx,男性,63岁,无意中发现右侧上颈部有一个肿大淋巴结,一个月时间约增大三分之一体积。在我院做磁共振示:考虑鼻咽癌,伴有双侧颈部淋巴结转移。做了病理活检结果确诊为:鼻咽非角化性未分化型癌,伴右颈部淋巴结转移。
我科立即予以放疗定位,制定放疗靶区,行根治性放疗,并做了同步化疗,同时予以中药汤剂、中药贴敷以及中药外洗等特色治疗,减轻放化疗副反应,预防放化疗并发症,提高生活质量。治疗过程顺利,放化疗结束后,鼻咽部肿块及颈部肿大淋巴结完全消除,症状完全消失。已随访20个月,病情稳定,未发现复发转移,患者完全恢复正常生活。
