近日,我院神经外科在介入室密切配合下成功完成了一例高难度的颈动脉支架置入手术。临出院时,患者家属留下两封亲笔感谢信, 这两封手写的信件,如同一面镜子,映照出南方医科大学中西医结合医院医护人员在守护患者生命健康道路上的不懈努力与执着追求!
在感谢信中,患者家属多次提到“耐心讲解病情”、“充满友善的氛围”、“耐心亲切”、“让人倍感温暖”等充满感激的词语,字里行间流露出对神经外科全体医护人员敬业精神、细致照护及人文关怀的深深敬意和感激。

图1

图2

图3
就医故事
来自阳江的冯叔,今年70岁,有多年的“高血压、高脂血症”,一个多月前,反复多次出现右侧肢体乏力,每次持续数分钟至数小时不等,当地医院核磁共振显示:左侧额叶、放射冠急性脑梗死;左侧颈内动脉起始部重度狭窄,颈内动脉颅内段和大脑中动脉显影细小、浅淡。该院医生予口服药物治疗,冯叔口服药物后,右侧肢体乏力仍反复发作。经人介绍,患者来到南方医科大学中西医结合医院,并入住神经外科。我院神经外科团队予脑血管造影术,造影显示:患者左侧颈内动脉起始部极重度狭窄,狭窄程度90%以上(接近闭塞),颈内动脉末端和大脑中动脉显影浅淡,大脑前动脉未显影。神经外科学科带头人陈陆馗教授和袁淮涛副主任医师带领团队进行病例讨论,认为:根据症状及脑血管造影表现,符合短暂性脑缺血发作诊断,罪魁祸首是左侧颈内动脉起始部重度狭窄,一旦该动脉急性闭塞,则很可能危及到患者生命。征得患者及其家属同意,在陈陆馗教授指导下,袁淮涛副主任医师带领洪川博士为患者实施左侧颈内动脉起始部球囊扩张成型、支架置入术,成功置入一枚支架,术后造影显示,支架位置准确,血流通畅,狭窄部位基本恢复正常管径,颈内动脉颅内段及大脑中动脉、大脑前动脉血供恢复。术后观察几日,患者便康复出院了。患者住院期间,我院医护人员用耐心、细心和爱心,换取患者及其家属放心,患者也积极配合诊治,医患双向奔赴,成就一段医患和谐的佳话。

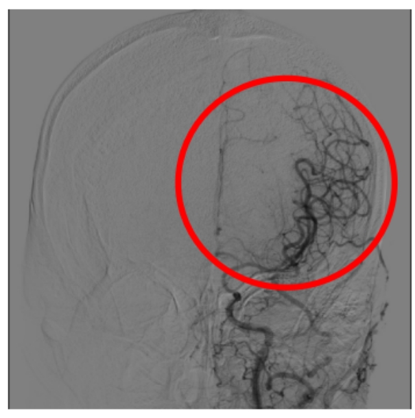
图4术前造影显示颈内动脉起始部极重度狭窄
图5 术前左侧颈内动脉末端及其分支显影不清

图6介入手术置入的支架
图7术后颈内动脉狭窄处恢复正常管径

图8颈内动脉末端及分支血流恢复
袁淮涛副主任医师提醒:颈动脉狭窄是引起脑梗死重要的原因,短暂性脑缺血发作是脑梗死的早期表现,及时有效的解决颈动脉狭窄对于预防脑梗死、降低脑卒中危险非常重要。颈动脉支架置入术是一种微创介入治疗方法,具有创伤小、恢复快、疗效确切等优点,已成为治疗颈动脉狭窄的重要手段之一。同时,袁淮涛建议中老年人,尤其是有高血压、糖尿病患者要定期做颈部和颅内动脉筛查,如颈部血管彩超、颈部和头部的CTA或MRA等,如果出现一侧肢体麻木、乏力或不明原因的头痛、头晕、视物黑朦等,则需及时就医。
(通讯员:黄嘉俊、袁淮涛)