您的位置: 首页 - 所有科室 - 脑病科(神经内科) - 典型病例

颅内血肿微创清除术

2017-02-17 10:36 阅读次数:15503

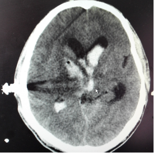
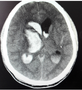
男性,50岁,右侧基底节区脑出血破入脑室、颅内高压,行颅内血肿微创清除术,有效清除了颅内积血,降低颅内压,患者恢复良好。

手术前

手术后

相关推荐