迎合我院作为首批中医诊疗模式创新试点单位的契机,自2015年2月以来即正式确定我院国家中医药管理局“十一五”重点专科的针推康复科成为了中医诊疗单元模式实施的试点科室,对诊疗模式进行了创新,在中风病的康复方面走出了新方向。
中风康复单元诊疗模式的最大特点是集体接诊,其不同于传统的单个医生接诊病人,而是固定时间、固定场所,选定中风住院患者,由患者的主管医师、针灸医师、推拿医师、康复医师、PT治疗师、OT治疗师、ST治疗师、康复护理人员共同接诊。由主管医师担任接诊秘书,首先详细汇报病史,然后接诊人员从各自不同学科进行有针对性的询问和体格检查,提出各自专业方向的诊疗方案,并进行集体讨论后予以确定。患者住院期间即按既定的诊疗方案由诊疗单元各成员严格认真执行。
案例分享
黄某,男,41岁 首次入院时间:2017年5月21日
主诉:右侧肢体活动障碍伴言语不清17天
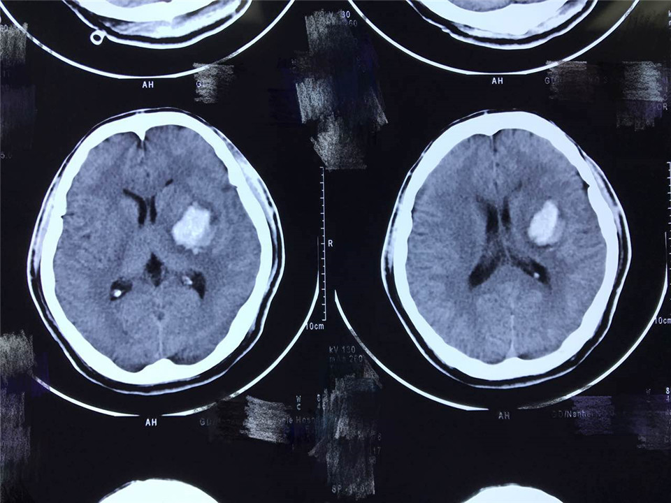
现病史:患者于2017年5月4日外出购物时突然出现右侧肢体乏力,言语不清,口角歪斜,当时神清,无恶心呕吐,后病情逐渐加重,出现意识障碍,查头颅CT示左侧基底节区脑出血,出血量约50ml。次日转至南方医院神经外科,即于全麻下行左侧血肿腔穿刺引流+颅内压探头置入术,术程顺利,术后予控制血压、血肿引流等对症治疗后病情逐渐平稳,遗留言语不清,右侧肢体无力,吞咽障碍。为进一步中西医结合康复治疗于2017年5月21日来我院就诊,以“脑出血恢复期”收入院。入院症见:患者神志清楚,精神一般,言语不清,发音含混,口角歪斜,无流涎,右侧肢体活动障碍,右上肢不能抬举,右手不能持物,右下肢不能负重,不能独自保持坐立位,嗜睡,鼻饲全流食,4日未解大便,小便可,舌淡红,苔黄厚,脉濡。体重未见明显减轻。

既往史:1年前发现高血压病,血压最高达220/90mmHg,未服用任何药物及系统治疗。否认糖尿病、心脏病等病史,否认外伤手术史,否认食物及药物过敏史,否认输血史。
查体:入院生命体征平稳,心肺腹查体未见明显异常。专科查体:神清,反应可,言语欠清晰,右鼻唇沟稍变浅,伸舌右偏,咽反射稍减弱;四肢肌肉基本对称,右侧肢体肌张力降低,右侧肌力0级,右肩、肘、腕、膝、踝关节不能运动,右手不能握物,左侧肢体肌力、肌张力正常。右侧肢体深浅感觉稍减退。双侧肱二头肌腱反射、肱三头肌腱反射、桡骨膜反射、腹壁反射、膝腱反射、跟腱反射减弱,双侧Hoffmann征(-),双侧Babinski征(-)。康复评定:日常生活活动能力评定:改良的Barthel指数:20分,简化Fugl-Meyer运动功能评分:8分,Berg平衡量表:4分。神经功能缺损程度评分(NDS):35分,MMSE评分不能配合。
入院中医辨病辨证:患者以右侧肢体无力、活动障碍、言语欠清为主要临床表现,大便多日未解,舌淡红,苔黄厚,脉濡。四诊合参,本病当属祖国医学“中风病”范畴,证属痰热腑实证。患者平素饮食起居不慎,脾胃功能受损,痰浊内生,瘀阻经络,经络不通,故见肢体无力,活动障碍、言语謇涩等症状,舌脉均为痰热腑实证。
初步诊断:中医诊断:中风病 痰热腑实证;
西医诊断:1.脑出血恢复期;2.高血压3级 极高危
诊疗过程:入院完善相关检查后,按针推康复科中风康复单元诊疗模式治疗,治疗方案如下:
1)内科治疗:予降压、制酸护胃、营养神经、改善脑代谢、化痰;做好中风病二级预防。
2)针灸治疗:患者来时痰瘀阻络之象较明显,以益气活血,化痰通络为原则,以全经针刺法为主,依次针刺健患侧十二经经穴,加头皮针改善认知,加天枢、大横改善大便功能,加中脘、丰隆化痰,配合灸法、红外线、耳穴压豆治疗。
3)推拿点穴治疗:以内科推拿治疗为主,按经络循行顺序,手三阴、手三阳、足三阴、足三阳行推法、拍法等手法,结合手指点穴法及关节运动法,疏通十二经经气;患者来时大便不通畅,加摩腹,针对言语不利、口角歪斜,行头面部穴位点按。
4)康复治疗:以改善吞咽及言语功能、提高患者肢体耐力及协调性、提高生活自理能力为主要目的,行关节松动训练、构音障碍训练、吞咽功能障碍训练及认知功能障碍训练,配合中频脉冲电治疗、电子生物反馈疗法、肢体气压治疗等,治疗循序渐进,以患者不疲劳为度;避免误用综合征。
5)中医辨病辨证施治及中药汤剂:患者以右侧肢体无力、活动障碍、言语欠清为主要临床表现,大便多日未解,舌淡红,苔黄厚,脉濡。四诊合参,本病当属祖国医学“中风病”范畴,证属痰热腑实证。患者平素饮食起居不慎,脾胃功能受损,痰浊内生,瘀阻经络,经络不通,故见肢体无力,活动障碍、言语謇涩等症状,舌脉均为痰热腑实证。中药以化痰通腑为则,拟星蒌承气汤加减,中病即止。具体方药:胆南星、瓜蒌、大黄、芒硝、甘草、地黄、黄芩。



经服用星蒌承气汤1剂后,大便可排,后见舌淡红,苔白厚,舌下有瘀络,脉濡,证属“痰瘀阻络证”,治以益气活血、化痰通络,拟半夏白术天麻汤合桃红四物汤加减,具体方药:半夏、白术、天麻、橘红、茯苓、炙甘草、大枣、桃仁、红花、熟地黄、当归、白芍、川芎、天南星、生姜。
治疗半月余后,患者拔除胃管,可自主经口进食,无明显呛咳。
治疗2月余后,患者康复进度理想,症状可较前明显改善,生活可达基本自理:言语较前流利,构音较前清晰,可以自主言语表达日常诉求,右侧肢体活动力量及活动度均较前明显好转,可自主完成卧-坐-站位转移,监护下穿矫形鞋可独自步行约20分钟,偏瘫步态。舌淡,苔薄白,脉弦。查体:生命体征平稳,心肺腹查体未见明显异常。专科查体:右上肢近端肌力3+级,远端肌力2+级,右下肢近端肌力4级,远端肌力3+级,腹壁反射稍减弱,右侧肱二头肌腱反射、肱三头肌腱反射、桡骨膜反射、膝腱反射、跟腱反射活跃。双侧Hoffmann征(-),右侧Babinski征(+)。康复评定:日常生活活动能力评定:改良的Barthel指数:97分,简化Fugl-Meyer运动功能评分:44分,Berg平衡量表:51分。神经功能缺损程度评分(NDS):13分,MMSE评分22分。

