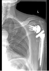
近日,骨伤科为一名“左肱骨近端粉碎性骨折”的患者成功实施了左侧反置式人工全肩关节置换术(RTSA),这项手术的开展标志着我院骨伤科的诊疗水平迈上了新的台阶。
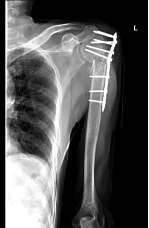
患者是一位63岁的男性,2019年12月中旬外出活动时走路滑到摔伤后左肩部肿痛畸形不能活动,当时在外院诊断为左肱骨近端骨折,行左肱骨近端骨折切开复位内固定术。2020年1月31日患者被电动车碰撞,再次摔伤左肩部,来我院就诊,骨伤科黄刚主任接诊,经检查后发现左肱骨近端粉碎性骨折,严重骨质疏松症,原左肱骨近端骨折内固定钢板螺钉失效,骨折部粉碎、移位大。
骨伤科黄刚主任介绍,如再行传统的“切开复位内固定术”治疗,复位困难,肱骨头后期坏死、不愈合的可能性非常大,给骨折后期的功能康复带来巨大的隐患,将会影响患者日常生活,经过科内专家病例讨论,认为目前最适宜的治疗方法是实施反置式人工全肩关节置换术。

经过充分的术前准备,黄刚主任带队为患者成功实施了左侧反置式人工全肩关节置换手术,手术过程顺利,患者在术后第3天就已经开始左肩关节功能锻炼。患者现在继续接受后期康复治疗,左肩关节功能将有望最大限度的恢复。
反置式人工全肩关节置换术(RTSA)适应用于肩袖骨关节病、肩关节假性麻痹、老年性肱骨头无菌性坏死、类风湿性盂肱关节关节炎、老年患者陈旧性肩关节脱位、盂肱关节骨肿瘤切除术后重建、人工肩关节置换后翻修、肩袖撕裂修补术后失败伴肱骨头持续上移、老年性粉碎性肱骨近端骨折等需要行肩关节置换的病患。由于肩关节功能特殊、解剖结构复杂,术中需在狭窄空间下完成精准截骨,调整后倾角、颈干角、偏心距等,该手术对术者手术技巧要求极高。据了解,2019年广东省该手术病例不超30例。
此次,我院骨伤科在已广泛开展髋膝关节置换技术的基础上首次开展了反置式人工全肩关节置换手术,为肩关节病患提供了一种新型的治疗方法,为肩关节顽固疾病提供了更多的治疗选择。